Dato for udgivelse
12 mar 2015 09:52
Resumé

Med tre nye røntgenscannere kan SKAT på få minutter finde ud af, om rejsende i landets lufthavne har slugt narkotika. På den måde slipper de mistænkte for en lang dag på hospitalets røntgenafdeling. Efter en prøveperiode i Københavns lufthavn udbreder SKAT nu metoden til lufthavnene i Billund og Ålborg.


Godt 25 millioner rejsende passerer hvert år gennem Københavns lufthavn. I det mylder af mennesker standser SKAT årligt et par hundrede personer til en nærmere undersøgelse af, om de bærer narkotika i kroppen.

- I SKAT har vi en vigtig opgave i at sikre at narkotika ikke kommer ind over landets grænser. Smugling af narkotika er ikke bare en alvorlig forbrydelse, det kan også være meget farligt for personen selv, hvis det er gemt inde i kroppen. Derfor er vi glade for at kunne udføre denne opgave endnu bedre med de nye scannere, fortæller Preben Buchholtz, der er underdirektør i SKAT.

Hurtig afklaring
SKAT finder typisk frem til smuglerne ved at gennemgå passagerlister, trække på efterretninger fra udlandet og kigge på passagerernes adfærd. Når SKATs toldere vurderer, at der er en risiko for smugleri, bliver personen taget ud til et interview. Hvis mistanken går på, at den rejsende har slugt fx kokain, skal der en røntgenundersøgelse til.

- Tidligere måtte vi overgive de rejsende til politiet, så de kunne blive CT-scannet på et hospital. Det tager gerne en hel dag og kræver rigtig mange ressourcer. Men i dag kan vi tilbyde en hurtig scanning med vores egen scanner, der bruger en røntgen med lav stråling, forklarer Preben Buchholtz.

Et stort flertal af de kontrollerede har ikke slugt narkotika. For dem betyder scanningen i lufthavnen, at de hurtig kan fortsætte rejsen. Kun hvis scanningen viser tegn på smugling, bliver den mistænkte overgivet til politiet med henblik på en nærmere undersøgelse.

Prøveordning bliver permanent
Siden 2013 har SKAT haft en dispensation fra sundhedsmyndighederne til at afprøve en lejet bodyscanner i København i en testperiode. Men teknologien er nu blevet godkendt til permanent anvendelse.

- Vi har nu sat gang i et EU-udbud på et køb af tre scannere til lufthavnene i København, Billund og Ålborg, og vi regner med at være klar til at bruge dem i efteråret 2015, fortæller Preben Buchholtz.

Fakta: Kropsscannere i tolden
Røntgenscannere til personer anvendes blandt andet hos det engelske toldvæsen, men teknologien er endnu ikke almindelig udbredt internationalt. I 2013 fik SKAT hjemmel til at anvende teknologien, da Folketinget vedtog en ændring af toldloven.

En røntgenscanner fylder et helt rum. Døre og vægge i rummet er sikrede, så røntgenstrålerne ikke trænger ud. Selve scanningen tager ca. 10 sekunder. Strålingen er væsentlig lavere end i de røntgenscannere, man typisk anvender på hospitalerne.

De tre scannere, som nu indkøbes til lufthavnene i København, Billund og Ålborg, ventes at koste omkring fem millioner kroner til sammen.

Ud over de tre kropsscannere omfatter udbuddet også en ny mobil containerscanner. Den nye containerscanner skal erstatte den ældste af de containerscannere, som SKAT blandt andet har anvendt i forbindelse med FN's indsats med at fjerne kemiske våben fra Syrien.

Det samlede udbud ventes at løbe op i et mindre tocifret millionbeløb.

Billeder
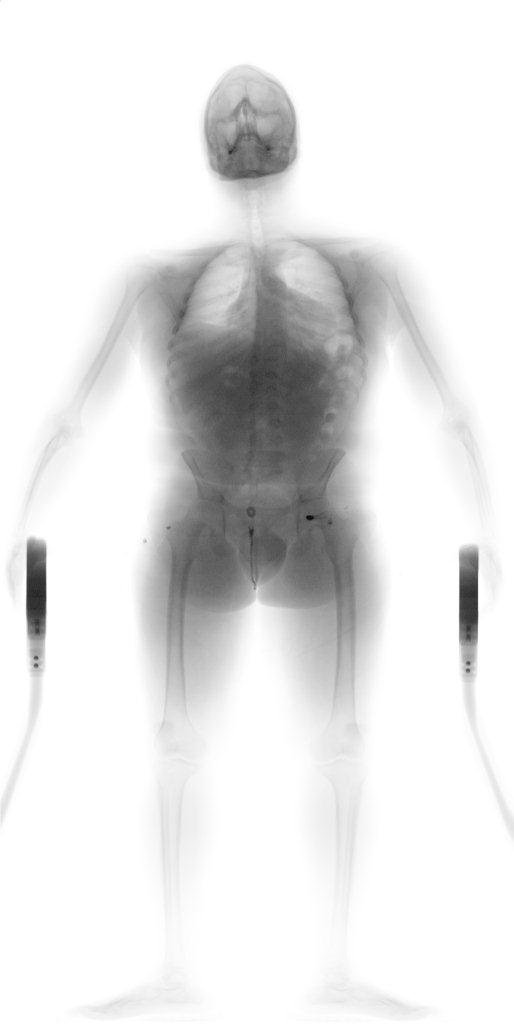
Billede 1: Scanningsbillede fra Københavns lufthavn. Tolderne har udtaget personen til kontrol, og scanningsbilledet afslørede 70 kugler i tarmsystemet med i alt 700 gram kokain.
Billede 2: En medarbejder fra Københavns Lufthavn starter kropsscanneren op.
Billede 3: Scannerrummet i Københavns lufthavn.
Billede 4: En medarbejder fra SKAT demonstrerer scanneren i Københavns lufthavn (uden røntgenstråler).
Billede 5: Demonstrationsbillede af en person med kokain i tarmsystemet.

Billederne kan frit anvendes med angivelse af SKAT som kilde.

Yderligere oplysninger: Journalister: tlf.: 7237 0900; Borgere: tlf.: 7222 1818